
Òªµã½â¶Á
Claudin18.2£¨CLDN18.2£©ÒѳÉΪ¿¹Ö×ÁöÒ©ÎïÑз¢µÄÈÈÃÅ¡£CLDN18.2ÂѰ×ÔÚÔ¼40%θ°©²¡ÀýÖйý±í´ï£¬ÊÇθ°©°ÐÏòÖÎÁƵÄÖ÷Òª°Ðµã¡£Í¨¹ýÃâÒß×黯¼ì²âθ°©×éÖ¯ÖÐCLDN18.2ÂѰױí´ïˮƽ£¬ÒѳÉΪɸѡCLDN18.2°ÐÏòÖÎÁÆÊÊÓÃÐÔµÄÖ÷ÒªÊֶΡ£
¡¡¡¡×ôÍ×Îôµ¥¿¹£¨Zolbetuximab£©ÊÇÈ«ÇòÊ׸öÕë¶ÔCLDN18.2°Ðµã¿ª·¢µÄµ¥¿Ë¡¿¹ÌåÒ©Îï¡£Ñо¿Åú×¢£¬¹ØÓÚCLDN18.2¸ß±í´ï¡¢HER2ÒõÐԵġ¢¾Ö²¿ÍíÆÚ²»¿ÉÇгý»ò×ªÒÆÐÔθ°©»¼Õߣ¬½ÓÄÉ×ôÍ×Îôµ¥¿¹ÍŽữÁÆÒ»ÏßÖÎÁƺó£¬Ô¤ºóÏÔÖø¸ÄÉÆ¡£2024Ä꣬×ôÍ×Îôµ¥¿¹ÍŽữÁÆÒѱ»ÈÕ±¾¡¢Ó¢¹ú¡¢Å·ÃË¡¢ÃÀ¹úFDA¡¢ÖйúNMPAÏȺóÅú×¼£¬ÓÃÓÚÖÎÁÆHER2ÒõÐÔ¡¢CLDN18.2¸ß±í´ïµÄ¡¢¾Ö²¿ÍíÆÚ²»¿ÉÇгý»ò×ªÒÆÐԵġ¢Î¸»òʳ¹Üθ½ÓÈÀ²¿ÏÙ°©¡£ÔÚ2024ÄêµÚ5°æÎ¸°©NCCNÖ¸ÄÏÖУ¬Ê״ν«×ôÍ×Îôµ¥¿¹ÍŽẬ·úÄòà×ऺͲ¬À໯ÁÆÓÅÏÈÍÆ¼öÓÃÓÚHER2ÒõÐÔ¡¢CLDN18.2¸ß±í´ï»¼ÕßµÄÖÎÁÆ¡£
¡¡¡¡2025Äê7Ô£¬Öйú¿¹°©Ð»áÖ×Áö²¡Àíרί»áÐû²¼ÁË¡¶Î¸°©Claudin18.2ÁÙ´²¼ì²âר¼Ò¹²Ê¶£¨2025°æ£©¡·£¬¶Ô¼ì²âÁ÷³Ì¡¢ÅжÁ±ê×¼ºÍ²¡Àí±¨¸æ¾ÙÐÐÁ˹淶¡£ÒÔÏÂΪ¸Ã¹²Ê¶µÄÖ÷ÒªÄÚÈÝ£º
¡¡¡¡1 ¾Ö²¿ÍíÆÚ¡¢¸´·¢»ò×ªÒÆÐÔθ°©£ºÇ¿ÁÒÍÆ¼öÖÎÁÆÇ°¼ì²âCLDN18.2ÂѰױí´ï£»
¡¡¡¡2 ÔÚÔ·¢ÔîºÍ×ªÒÆÔîÖУ¬CLDN18.2±í´ï¸ß¶ÈÒ»Ö£»
¡¡¡¡3 Ï£ÍûÆÚθ°©Ô·¢ÔîµÄÄÚ¾µ»î¼ì£º½¨ÒéÈ¡6-8¿é£¬ÒÔÌá¸ß¼ì²â׼ȷÐÔ£»
¡¡¡¡4 Ô·¢²¿Î»µÄÊÖÊõÇгý±ê±¾×îÏàÒ˼ì²âCLDN18.2ÂѰױí´ï£¬½¨ÒéÑ¡Ôñ´øÕý³£Î¸ð¤Ä¤µÄÖ×Áö×éÖ¯¡¢ÒÔ±ã×÷ΪÄÚ²¿ÑôÐÔ±ÈÕÕ£»
¡¡¡¡5 Ö×Áöϸ°ûÊý£º×éÖ¯Ñù±¾ÖÐ≥50¸ö£¬Ï¸°ûѧÑù±¾ÖÐ≥100¸ö£»
¡¡¡¡6 CLDN18.2ÔÚÃÖÂþÐÍθ°©ÖÐÑôÐÔÂʸßÓÚ³¦ÐÍθ°©¡£Òò´Ë£¬¹ØÓÚ»ìÏýÐÍθ°©£¬Ó¦Ñ¡ÔñÓвî±ðÒòËØµÄÖ×Áö×éÖ¯¾ÙÐмì²â£¬ÒÔÃâ¼ÙÒõÐÔ£»
¡¡¡¡7 ÄÚ²¿±ÈÕÕ£ºÕý³£Î¸Ð¡°¼ÉÏÆ¤Ï¸°ûĤǿÑôÐÔ£¬³¦»¯ÏÙÉÏÆ¤Ï¸°ûĤÈõ-ÖжÈÑôÐÔ£¬¹ÌÓв㣨ÁܰÍϸ°û£¬×é֯ϸ°û£¬Æ½»¬¼¡£¬Ñª¹Ü£¬Éñ¾£©ÒõÐÔ£»
¡¡¡¡8 ÏÖÔÚº£ÄÚNMPA±¸°¸µÄCLDN18.2¿¹ÌåÓÐ56¸ö£¬ÆäÖÐÒ»¸öÊÇVentanaµÄ43-14A£¬ÆäËû¶¼Êǹú²ú¿¹Ì壻
¡¡¡¡9 ÑôÐÔÅжÁ£º
¡¡¡¡¢ÙÑôÐÔȾɫ£ºÇåÎúµÄÏßÐÔϸ°ûĤ×ÅÉ«£¬¿ÉΪÍêÈ«»ò²¿·Ö¡¢»ùµ×Íâ²à¡¢Íâ²à»ò¶¥¶Ë¡¢Î¢Ç»È¾É«£»
¡¡¡¡¢ÚÑôÐÔÇ¿¶ÈÆÀ·Ö£º
¡¡¡¡ 
¡¡¡¡¢ÛÅжÁЧ¹û£º½¨Òé°üÀ¨ÑôÐÔÇ¿¶È¡¢²î±ðÑôÐÔÇ¿¶ÈµÄÖ×Áöϸ°û°Ù·Ö±È
¡¡¡¡10 ÅжÁÊ±×¢ÖØÊÂÏ
¡¡¡¡¢Ù½öÅжÁ½þÈó°©£»
¡¡¡¡¢Ú¿ÅÁ£×´Ï¸°ûĤȾɫ¡¢°ûÖÊȾɫ¡¢Ï¸°ûºËȾɫ£º²»Ó¦ÅжÁΪÑôÐÔ£»
¡¡¡¡¢ÛÃÖÂþÐÍθ°©£º×èÖ¹½«ÒõÐÔÖ×Áöϸ°ûÎóÅÐΪÑ×ϸ°û£»
¡¡¡¡¢ÜȾɫ²»Ã÷ȷʱӦÉóÉ÷½â¶Á¡£
¡¡¡¡11 ÑôÐÔ±ê×¼£º
¡¡¡¡¢Ù×ôÍ×Îôµ¥¿¹£º≥75%µÄÖ×Áöϸ°ûĤÖеÈ?Ç¿×ÅÉ«£¨2+/3+£©
¡¡¡¡¢ÚÆäËûÒ©Î¼ûÏÂͼ£¨±í1£©
¡¡¡¡ 
¡¡¡¡12 µä·¶ £º
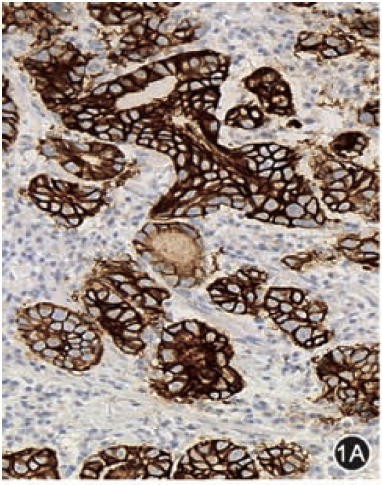
¡¡¡¡Í¼A.Î§ÈÆÏ¸°ûĤÍêÈ«/²¿·ÖÑôÐÔ£»
¡¡¡¡
¡¡¡¡Í¼B.Íâ²à/»ùµ×Íâ²àȾɫ£¨ºìÉ«¼ýÍ·£©
¡¡¡¡ 
¡¡¡¡Í¼C.¶¥¶ËȾɫ
¡¡¡¡ 
¡¡¡¡Í¼D.΢ǻȾɫ
¡¡¡¡ 
¡¡¡¡²Î¿¼ÎÄÏ×
¡¡¡¡¡¶Î¸°©Claudin18.2ÁÙ´²¼ì²âר¼Ò¹²Ê¶£¨2025°æ£©¡·×¨¼ÒίԱ»á.θ°©Claudin18.2ÁÙ´²¼ì²âר¼Ò¹²Ê¶£¨2025°æ£©[J].Öлª²¡ÀíѧÔÓÖ¾,2025,54(07)£º718-725.DOI:10.3760/cma.j.cn112151-20250408-00245













































ÔÁ¹«Íø°²±¸ 44030602000441ºÅ 